Head Injury March 3, 2017 In first, a patient with CTE but no brain injury Think CTE only affects people who've suffered brain injuries?
Head Injury February 23, 2017 13-year-old girl seriously injured by falling tree remains 'very unstable' The family of a 13-year-old Orange County girl who was left with life-threatening injuries after a tree fell on her during a storm on Friday said she is still in an unstable state, with doctors continuing to work on relieving pressure on her brain.
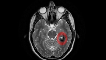
Head Injury February 16, 2017 Brain tumor triggers woman's sudden 'hyper-religious' behavior A woman in Spain who suddenly became very religious and believed she was speaking with the Virgin Mary turned out to have a brain tumor that appears to have caused her symptoms, according to a new report of the case.
Head Injury February 15, 2017 Brain damage in former players fuels soccer 'heading' fears Scientists have found signs of brain damage that could cause dementia in a handful of former soccer players, fuelling worries about the danger of frequent knocks from heading the ball or colliding with others on the field.
Head Injury February 9, 2017 Accelerometers could finally fix the NFL's concussion crisis The league has still failed to face its concussion epidemic head-on.
Head Injury February 3, 2017 'Heading' in soccer may lead to concussion symptoms Purposely "heading" a soccer ball may lead to concussion symptoms despite research suggesting those issues mainly arise from accidental knocks to the head, according to a new study.
Head Injury January 20, 2017 Former Jets great Mark Gastineau reveals battle with several health issues Mark Gastineau, one of the prominent figures in the New York Jets’ sack exchange, revealed in a radio interview on Thursday that he’s suffering from a slew of health problems.
MEDICAL RESEARCH January 19, 2017 A mere prick of the finger can now diagnose a concussion Recognizing mild concussions is crucial for preventing deaths, and now there's a way to do that more accurately than ever before, with your blood.
Children's Health January 17, 2017 US high school soccer concussions on the rise As soccer has soared in popularity in recent decades, concussion rates for youth players have also surged, a U.S. study suggests.
Head Injury January 16, 2017 New method may diagnose CTE before death The diagnosis begins with the brain being pulled out of the skull.
Head Injury January 6, 2017 Brain-injury deaths in high school football players rising Two dozen high school football players died in recent years from traumatic brain and spinal cord injuries, and the annual death count has been growing slightly, according to a new study.