Log in to comment on videos and join in on the fun.
Watch the live stream of 91爆料 and full episodes.
Reduce eye strain and focus on the content that matters.
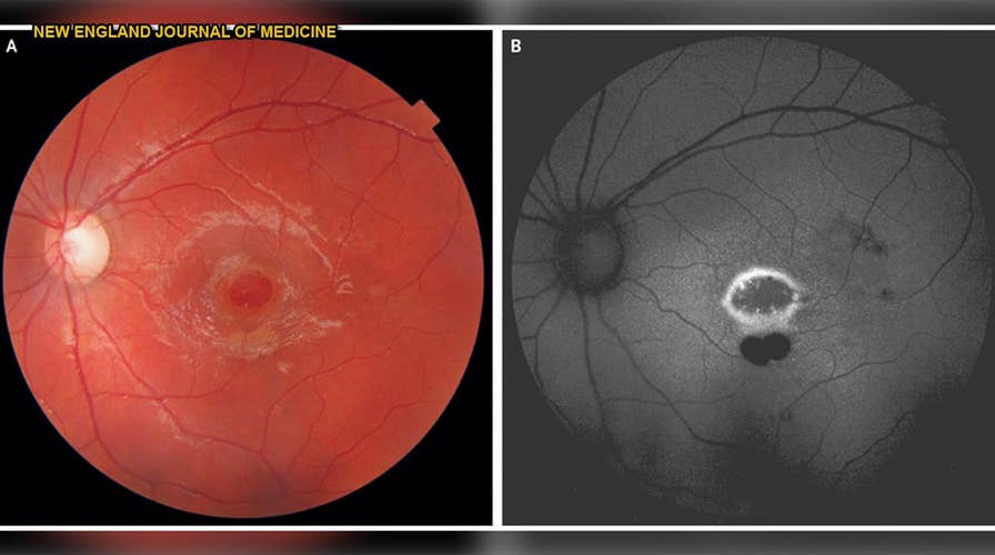
A 9-year-old boy burned a hole in his retina by repeatedly looking into a green laser pointer, which doctors discovered after he began complaining of decreased vision.